An experimental drug in early development for aggressive brain tumors can cross the blood-brain tumor barrier, kill tumor cells and block the growth of tumor blood vessels, according to a study led by researchers at the Ohio State University Comprehensive Cancer Center – Arthur G. James Cancer Hospital and Richard J. Solove Research Institute (OSUCCC – James).
The laboratory and animal study also shows how the agent, called SapC-DOPS, targets tumor cells and blood vessels. The findings support further development of the drug as a novel treatment for brain tumors.
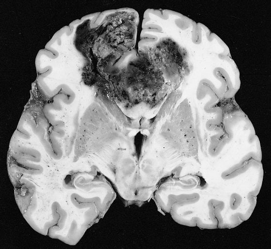
Glioblastoma multiforme is the most common and aggressive form of brain cancer, with a median survival of about 15 months. A major obstacle to improving treatment for the 3,470 cases of the disease expected in the United States this year is the blood-brain barrier, the name given to the tight fit of cells that make up the blood vessels in the brain. That barrier protects the brain from toxins in the blood but also keeps drugs in the bloodstream from reaching brain tumors.

“Few drugs have the capacity to cross the tumor blood-brain barrier and specifically target tumor cells,” says principal investigator Balveen Kaur, PhD, associate professor of neurological surgery and chief of the Dardinger Laboratory of Neurosciences at the OSUCCC – James. “Our preclinical study indicates that SapC-DOPS does both and inhibits the growth of new tumor blood vessels, suggesting that this agent could one day be an important treatment for glioblastoma and other solid tumors.”
The findings were published in a recent issue of the journal Molecular Therapy.
SapC-DOPS (saposin-C dioleoylphosphatidylserine), is a nanovesicle drug that has shown activity in glioblastoma, pancreatic cancer and other solid tumors in preclinical studies. The nanovesicles fuse with tumor cells, causing them to self-destruct by apoptosis.
- SapC-DOPS binds with exposed patches of the phospholipid phosphatidylserine (PtdSer) on the surface of tumor cells;
- Blocking PtdSer on cells inhibited tumor targeting;
- SapC-DOPS strongly inhibited brain-tumor blood-vessel growth in cell and animal models, probably because these cells also have high levels of exposed PtdSer.
- Hypoxic cells were sensitized to killing by SapC-DOPS.
“Based on our findings, we speculate that SapC-DOPS could have a synergistic effect when combined with chemotherapy or radiation therapy, both of which are known to increase the levels of exposed PtdSer on cancer cells,” Kaur says.
Notes about this neuropharmacology and brain cancer
Funding from the NIH/National Cancer Institute (grants CA158372, CA136017, CA136017, F31CA171733) and a New Drug State Key Project grant (009ZX09102-205) helped support this research.
Other researchers involved in this study were Jeffrey Wojton, Haritha Mathsyaraja, Walter H. Meisen, Nicholas Denton, Chang-Hyuk Kwon and Michael C. Ostrowski of The Ohio State University; and Zhengtao Chu, Lionel M.L. Chow, Mary Palascak, Robert Franco, Tristan Bourdeau, Sherry Thornton and Xiaoyang Qi of the University of Cincinnati.
Contact: Darrell E. Ward – Ohio State University
Source: Ohio State University press release
Image Source: The glioblastoma multiform brain slice image is credited to Dr. Rodney D. McComb and is in the public domain.
Original Research: Abstract for “Systemic Delivery of SapC-DOPS Has Antiangiogenic and Antitumor Effects Against Glioblastoma” by Jeffrey Wojton, Zhengtao Chu, Haritha Mathsyaraja, Walter H Meisen, Nicholas Denton, Chang-Hyuk Kwon, Lionel ML Chow, Mary Palascak, Robert Franco, Tristan Bourdeau, Sherry Thornton, Michael C Ostrowski, Balveen Kaur and Xiaoyang Qi in Molecular Therapy. Published online June 4 2013 doi:10.1038/mt.2013.114


