Diagnosis and treatment decisions for a recently recognized type of children’s brain tumor should be improved by the discovery of the genetic mechanism that causes it, say researchers who identified the unusual DNA abnormality in angiocentric gliomas.
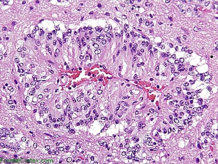
Currently there is no definitive pathological test to help identify this rare type of low-grade glioma. Named for their curious behavior of “hugging” blood vessels in the brain, angiocentric gliomas are usually cured with surgery and don’t need further treatment with radiation or chemotherapy. But given their recent description and difficulties in identifying them confidently, some patients receive the additional therapy, which often is damaging to the growing brain, in an effort to prevent a recurrence.
“Now we know these angiocentric gliomas have a different biology, and we have an exact way of identifying them so that patients can avoid this additional therapy that has life-long consequences,” said Rameen Beroukhim, MD, PhD, of Dana-Farber Cancer Institute, a senior author of the report in Nature Genetics along with Keith Ligon, MD, PhD, and Adam Resnick, PhD. Ligon is a pathologist at Dana-Farber/Boston Children’s Hospital Cancer and Blood Disorders Center and Dana-Farber/Brigham and Women’s Cancer Center (DF/BWCC). Resnick is an investigator at Children’s Hospital of Philadelphia.
Angiocentric gliomas were recognized as distinct entities less than 10 years ago. Their name reflects the tumor cells’ tendency to line up around blood vessels. Fewer than 30 cases have been described in medical literature. Seizures are typically the first symptom leading to diagnosis. Although they are classified as a tumor, they are not malignant and don’t spread to other parts of the body.
These rare tumors fall under the umbrella of pediatric low-grade gliomas (PLGG), which collectively are the most common pediatric brain tumor. Until now, no specific genetic abnormality had been identified as a “driver” of angiocentric gliomas.
In the current study, the researchers analyzed data from 249 PLGG tumors, including 19 angiocentric gliomas, and discovered an unusual genetic accident as the fundamental cause of the angiocentric gliomas. The culprit event is a shuffling of DNA segments that brings together two separate genes, MYB and QKI, which become joined, or fused. MYB is a “proto-oncogene” – a normal gene that can become a cancer-causing oncogene. QKI is a tumor-suppressor gene that normally functions to prevent cells from becoming malignant.
When these two genes are abnormally joined, the researchers found, it triggers not one but three different mechanisms that converge to produce a tumor:
- Epigenetic control elements called enhancers are “hijacked” and brought closer to the MYB gene, which increases MYB activity.
- The MYB-QKI fusion gene causes cells to make a protein that binds to another control element – a promoter – that also revs up MYB activity, prodding the cells into runaway growth.
- The rearrangement also knocks out one of the two copies of the QPI tumor suppressor gene, enabling cancer-related genes to escape control and contribute to tumor formation.
“This represents the first example of a single driver rearrangement simultaneously transforming cells via three genetic and epigenetic mechanisms in a cancer,” the authors wrote. They identified this specific abnormality as “a defining event” found only in the angiocentric gliomas – it was not present in any of the other pediatric low-grade gliomas examined in the study.

Because of these findings, the researchers said, angiocentric glioma should be classified as a separate biologic entity, with the presence of the gene fusion confirming the diagnosis. “This could aid in distinguishing angiocentric glioma from tumors with higher potential for recurrence that could require further treatment,” they said. The authors have developed the first genetic test now available for these patients through collaboration with cytogeneticist Azra H. Ligon, PhD, of DF/BWCC.
Funding: The research was supported by A Kids’ Brain Tumor Cure Foundation Pediatric Low-Grade Astrocytoma Foundation and National Institutes of Health grants R01NS085336 and PO1CA142536.
Source: Teresa Herbert – Dana-Faber Cancer Institute
Image Source: The image is credited to gliageek/FrontalCortex.com
Original Research: Abstract for “MYB-QKI rearrangements in angiocentric glioma drive tumorigenicity through a tripartite mechanism” by Pratiti Bandopadhayay, Lori A Ramkissoon, Payal Jain, Guillaume Bergthold, Jeremiah Wala, Rhamy Zeid, Steven E Schumacher, Laura Urbanski, Ryan O’Rourke, William J Gibson, Kristine Pelton, Shakti H Ramkissoon, Harry J Han, Yuankun Zhu, Namrata Choudhari, Amanda Silva, Katie Boucher, Rosemary E Henn, Yun Jee Kang, David Knoff, Brenton R Paolella, Adrianne Gladden-Young, Pascale Varlet, Melanie Pages, Peleg M Horowitz, Alexander Federation, Hayley Malkin, Adam A Tracy, Sara Seepo, Matthew Ducar, Paul Van Hummelen, Mariarita Santi, Anna Maria Buccoliero, Mirko Scagnet, Daniel C Bowers, Caterina Giannini, Stephanie Puget, Cynthia Hawkins, Uri Tabori, Almos Klekner, Laszlo Bognar, Peter C Burger, Charles Eberhart, Fausto J Rodriguez, D Ashley Hill, Sabine Mueller, Daphne A Haas-Kogan, Joanna J Phillips, Sandro Santagata, Charles D Stiles, James E Bradner, Nada Jabado, Alon Goren, Jacques Grill, Azra H Ligon, Liliana Goumnerova, Angela J Waanders, Phillip B Storm, Mark W Kieran, Keith L Ligon, Rameen Beroukhim and Adam C Resnick in Nature Genetics. Published online February 1 2016 doi:10.1038/ng.3500
Abstract
MYB-QKI rearrangements in angiocentric glioma drive tumorigenicity through a tripartite mechanism
Angiocentric gliomas are pediatric low-grade gliomas (PLGGs) without known recurrent genetic drivers. We performed genomic analysis of new and published data from 249 PLGGs, including 19 angiocentric gliomas. We identified MYB-QKI fusions as a specific and single candidate driver event in angiocentric gliomas. In vitro and in vivo functional studies show that MYB-QKI rearrangements promote tumorigenesis through three mechanisms: MYB activation by truncation, enhancer translocation driving aberrant MYB-QKI expression and hemizygous loss of the tumor suppressor QKI. To our knowledge, this represents the first example of a single driver rearrangement simultaneously transforming cells via three genetic and epigenetic mechanisms in a tumor.
“MYB-QKI rearrangements in angiocentric glioma drive tumorigenicity through a tripartite mechanism” by Pratiti Bandopadhayay, Lori A Ramkissoon, Payal Jain, Guillaume Bergthold, Jeremiah Wala, Rhamy Zeid, Steven E Schumacher, Laura Urbanski, Ryan O’Rourke, William J Gibson, Kristine Pelton, Shakti H Ramkissoon, Harry J Han, Yuankun Zhu, Namrata Choudhari, Amanda Silva, Katie Boucher, Rosemary E Henn, Yun Jee Kang, David Knoff, Brenton R Paolella, Adrianne Gladden-Young, Pascale Varlet, Melanie Pages, Peleg M Horowitz, Alexander Federation, Hayley Malkin, Adam A Tracy, Sara Seepo, Matthew Ducar, Paul Van Hummelen, Mariarita Santi, Anna Maria Buccoliero, Mirko Scagnet, Daniel C Bowers, Caterina Giannini, Stephanie Puget, Cynthia Hawkins, Uri Tabori, Almos Klekner, Laszlo Bognar, Peter C Burger, Charles Eberhart, Fausto J Rodriguez, D Ashley Hill, Sabine Mueller, Daphne A Haas-Kogan, Joanna J Phillips, Sandro Santagata, Charles D Stiles, James E Bradner, Nada Jabado, Alon Goren, Jacques Grill, Azra H Ligon, Liliana Goumnerova, Angela J Waanders, Phillip B Storm, Mark W Kieran, Keith L Ligon, Rameen Beroukhim and Adam C Resnick in Nature Genetics. Published online February 1 2016 doi:10.1038/ng.3500

