Women react differently to negative images compared to men, which may be explained by subtle differences in brain function. This neurobiological explanation for women’s apparent greater sensitivity has been demonstrated by researchers at the CIUSSS de l’Est-de-l’Île-de-Montréal (Institut universitaire en santé mentale de Montréal) and the University of Montreal, whose findings were published today in Psychoneuroendocrinology.
“Not everyone’s equal when it comes to mental illness,” said Adrianna Mendrek, a researcher at the Institut universitaire en santé mentale de Montréal and lead author of the study. “Greater emotional reactivity in women may explain many things, such as their being twice as likely to suffer from depression and anxiety disorders compared to men,” Mendrek added, who is also an associate professor at the University of Montreal’s Department of Psychiatry.
In their research, Mendrek and her colleagues observed that certain areas of the brains of women and men, especially those of the limbic system, react differently when exposed to negative images. They therefore investigated whether women’s brains work differently than men’s and whether this difference is modulated by psychological (male or female traits) or endocrinological (hormonal variations) factors.
For the study, 46 healthy participants – including 25 women – viewed images and said whether these evoked positive, negative, or neutral emotions. At the same time, their brain activity was measured by brain imaging. Blood samples were taken beforehand to determine hormonal levels (e.g., estrogen, testosterone) in each participant.
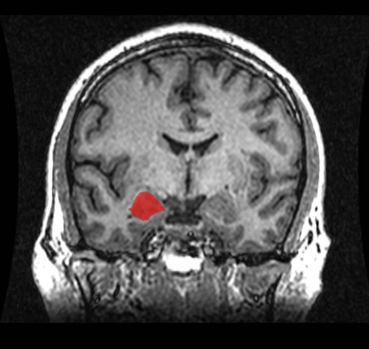
The researchers found that subjective ratings of negative images were higher in women compared to men. Higher testosterone levels were linked to lower sensitivity, while higher feminine traits (regardless of sex of tested participants) were linked to higher sensitivity. Furthermore, while, the dorsomedial prefrontal cortex (dmPFC) and amygdala of the right hemisphere were activated in both men and women at the time of viewing, the connection between the amygdala and dmPFC was stronger in men than in women, and the more these two areas interacted, the less sensitivity to the images was reported. “This last point is the most significant observation and the most original of our study,” said Stéphane Potvin, a researcher at the Institut universitaire en santé mentale and co-author of the study.
The amygdala is a region of the brain known to act as a threat detector and activates when an individual is exposed to images of fear or sadness, while the dmPFC is involved in cognitive processes (e.g., perception, emotions, reasoning) associated with social interactions. “A stronger connection between these areas in men suggests they have a more analytical than emotional approach when dealing with negative emotions,” added Potvin, who is also an associate professor at the University of Montreal’s Department of Psychiatry. “It is possible that women tend to focus more on the feelings generated by these stimuli, while men remain somewhat ‘passive’ toward negative emotions, trying to analyse the stimuli and their impact.”

This connection between the limbic system and the prefrontal cortex appeared to be modulated by testosterone – the male hormone – which tends to reinforce this connection, as well as by an individual’s gender (as measured be the level of femininity and masculinity). “So there are both biological and cultural factors that modulate our sensitivity to negative situations in terms of emotions,” Mendrek explained. “We will now look at how the brains of men and women react depending on the type of negative emotion (e.g., fear, sadness, anger) and the role of the menstrual cycle in this reaction.”
Source: Catherine Dion – University of Montreal
Image Source: The image is credited to the Amber Rieder, Jenna Traynor, & Geoffrey B Hall and is in the public domain
Original Research: Abstract for “Sex differences in effective fronto-limbic connectivity during negative emotion processing” by Ovidiu Lungu, Stéphane Potvin, Andràs Tikàsz, and Adrianna Mendrek in Psychoneuroendocrinology. Published online August 17 2015 doi:10.1016/j.psyneuen.2015.08.012
Abstract
Sex differences in effective fronto-limbic connectivity during negative emotion processing
Background
In view of the greater prevalence of depression and anxiety disorders in women than in men, functional magnetic resonance imaging (fMRI) studies have examined sex-differences in brain activations during emotion processing. Comparatively, sex-differences in brain connectivity received little attention, despite evidence for important fronto-limbic connections during emotion processing across sexes. Here, we investigated sex-differences in fronto-limbic connectivity during negative emotion processing.
Methods
Forty-six healthy individuals (25 women, 21 men) viewed negative, positive and neutral images during an fMRI session. Effective connectivity between significantly activated regions was examined using Granger causality and psychophysical interaction analyses. Sex steroid hormones and feminine-masculine traits were also measured.
Results
Subjective ratings of negative emotional images were higher in women than in men. Across sexes, significant activations were observed in the dorso-medial prefrontal cortex (dmPFC) and the right amygdala. Granger connectivity from right amygdala was significantly greater than that from dmPFC during the ‘high negative’ condition, an effect driven by men. Magnitude of this effect correlated negatively with highly negative image ratings and feminine traits and positively with testosterone levels.
Discussion
These results highlight critical sex differences in brain connectivity during negative emotion processing and point to the fact that both biological (sex steroid hormones) and psychosocial (gender role and identity) variables contribute to them. As the dmPFC is involved in social cognition and action planning, and the amygdala—in threat detection, the connectivity results suggest that compared to women, men have a more evaluative, rather than purely affective, brain response during negative emotion processing.
“Sex differences in effective fronto-limbic connectivity during negative emotion processing” by Ovidiu Lungu, Stéphane Potvin, Andràs Tikàsz, and Adrianna Mendrek in Psychoneuroendocrinology. Published online August 17 2015 doi:10.1016/j.psyneuen.2015.08.012


