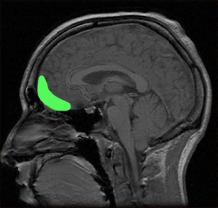
A study from Massachusetts General Hospital (MGH) researchers finds that the brains of young adult marijuana users react differently to social exclusion than do those of non-users. In a report published in the March issue of Biological Psychiatry: Cognitive Neuroscience and Neuroimaging, the team reports that activation of the insula, a region of the brain that is usually active during social rejection, was reduced in young marijuana users when they were being excluded from participation in virtual game of catch.
“While we know that peer groups are one of the most important predictors of marijuana use in young adults, we know very little about the neural correlates of social rejection in those who use marijuana,” says Jodi Gilman, PhD, of the MGH Center for Addiction Medicine, lead author of the paper. “The unexpected reduction in insula response may indicate that marijuana users are less conscious of social norms or have reduced ability to reflect on negative social situations, but we currently are unable to determine whether these differences in neural processing are a cause or a result of marijuana use.”

Several studies have indicated that adolescents and young adults who use marijuana are more likely than older individuals to become dependent or develop problems with thinking and learning. But while young adults often use marijuana in social setting with friends, relationships between peer rejection and drug use are complicated. Several studies have found that young people who are socially isolated are more likely to use tobacco, while another study found that youth who were socially isolated were more likely to use substances if they had some contact with substance-using peer groups.
The current study enrolled 42 young adults ages 18 to 25 from Boston-areas colleges – 20 who reported using marijuana two to four times a week and 22 who reported no recent marijuana use. Initially told they were being studied for mental visualization ability, participants took part in a computerized task called Cyberball, which is a recognized tool for investigating response to social rejection and ostracism.
Participants were told they will be playing an online game of “catch” with two other individuals and asked to imagine the experience as vividly as they can.
What they did not know is that there were no other players and that the system was programmed to vary the number of times the ball was thrown to the participant. After a period during which the participant received the ball 75 percent of the time, there was a second period when the ball was never thrown to the participant, followed by a third period during which the participant was again included in the game. After the session, all participants were told they had been playing against a computer and were asked about distress they had felt during the exclusion period, among other questions.
MR images taken during the Cyberball task focused on three brain regions that previous studies have associated with the response to social exclusion – the anterior insula, the ventral anterior cingulate cortex (vACC) and the orbitofrontal cortex (OFC). Since the OFC showed no significant activation during the task in either group, only results of the other two regions were analyzed.
While both the vACC and the insula showed activation during exclusion in the non-using control group, among marijuana users exclusion from the game produced no significant activation in the insula. Users exhibited the same level of vACC activation during exclusion as seen in the non-users, but an association between the amount of vACC activation and the levels of peer conformity and suggestibility measured on tests taken before the Cyberball task was only seen in marijuana users, not in non-users. The authors note that a greater susceptibility to peer influence in marijuana users could signify a more immature pattern of brain development.
“While we believe this study does indicate that the neural response to social exclusion is different in marijuana users compared to non-using controls,” Gilman explains, “it is hard to speculate whether that translates to actual differences in social behavior in real-world situations. That is definitely an area for future study, as is disentangling whether altered social processing contributes to or is a result of marijuana use.” Gilman is an assistant professor of Psychology in the Department of Psychiatry at Harvard Medical School.
Additional authors of the report are senior author Eden Evins, MD, MPH, director of the MGH Center for Addiction Medicine, and co-authors Max Curran, Vanessa Calderon and Randi Schuster, MA, also of the MGH Center for Addiction Medicine.
Funding: The study was supported by National Institute on Drug Abuse grants K01 DA034093 and K24 DA030443.
Source: Noah Brown – Massachusetts General Hospital
Image Source: The image is credited to Paul Wicks and is in the public domain.
Original Research: Full open access research for “Altered Neural Processing to Social Exclusion in Young Adult Marijuana Users” by Jodi M. Gilman, Max T. Curran, Vanessa Calderon, Randi M. Schuster, and A. Eden Evins in Biological Psychiatry: Cognitive Neuroscience and Neuroimaging. Published online March 2016 doi:10.1016/j.bpsc.2015.11.002
Altered Neural Processing to Social Exclusion in Young Adult Marijuana Users
Background
Previous studies have reported that peer groups are one of the most important predictors of adolescent and young adult marijuana use, and yet the neural correlates of social processing in marijuana users have not been studied.
Methods
In the current study, marijuana-using young adults (n = 20) and nonusing control subjects (n = 22) participated in a neuroimaging social exclusion task called Cyberball, a computerized ball-tossing game in which the participant is excluded from the game after a predetermined number of ball tosses.
Results
Control subjects, but not marijuana users, demonstrated significant activation in the insula, a region associated with negative emotion, when being excluded from the game. Both groups demonstrated activation of the ventral anterior cingulate cortex, a region associated with affective monitoring, during peer exclusion. Only the marijuana group showed a correlation between ventral anterior cingulate cortex activation and scores on a self-report measure of peer conformity.
Conclusions
This study indicates that marijuana users show atypical neural processing of social exclusion. This differential activation may have preexisted and may have contributed to the onset of marijuana use, and/or it may have developed as a result of marijuana exposure.
“Altered Neural Processing to Social Exclusion in Young Adult Marijuana Users” by Jodi M. Gilman, Max T. Curran, Vanessa Calderon, Randi M. Schuster, and A. Eden Evins in Biological Psychiatry: Cognitive Neuroscience and Neuroimaging. Published online March 2016 doi:10.1016/j.bpsc.2015.11.002


