Imaging patients soon after traumatic brain injury (TBI) occurs can lead to better (more accurate) detection of cerebral microhemorrhages, or microbleeding on the brain, according to a study of military service members, published online in the journal Radiology.
Cerebral microhemorrhages occur as a direct result of TBI and can lead to severe secondary injuries such as brain swelling or stroke. The ability to monitor the evolution of microhemorrhages could provide important information regarding disease progression or recovery.
According to the Centers for Disease Control and Prevention’s (CDC) National Center for Injury and Prevention Control, about 1.7 million people in the United States sustain TBI each year. Furthermore, the Institute of Medicine reports that 20 to 23 percent of military service members deployed to Afghanistan and Iraq have sustained TBI while serving.
“TBI is a large problem for our military service members and their families,” said Dr. Gerard Riedy, M.D., Ph.D., chief of neuroimaging at the National Intrepid Center of Excellence at the Walter Reed National Military Medical Center in Bethesda, Md. “We found that many of those who have served and suffered this type of injury were not imaged until many, many months after injury occurred thus resulting in lower rates of cerebral microhemorrhage detection which delays treatment.”
For the study, Dr. Riedy and colleagues used susceptibility-weighted imaging–an MRI technique that provides improved visibility of blood and is highly sensitive to hemorrhage–to evaluate 603 military service members with TBI. The median time from point of injury to imaging was 856 days. Of the 603 military service members who participated in the study, 7 percent were found to have at least one occurrence of cerebral microhemorrhage.
The patients were divided into four groups based on time since the injury occurred, ranging from less than three months to over a year. The results found that those who were imaged more than a year after the injury had a much lower occurrence of cerebral microhemorrhages than those who were scanned 12 months or fewer after TBI.
Cerebral microhemorrhage was identified in 24 percent of military personnel who were imaged within three months post-injury, compared to 5.2 percent of the patients who were imaged over a year later. The researchers attribute this to changes in iron deposits in the brain as time goes on, making it more difficult to detect microbleeding.

“Early characterization of cerebral microhemorrhages may help to explain clinical symptoms of acute TBI and identify the severity of brain damage,” Dr. Riedy said. “We believe that having access to MRI in the field would facilitate early detection of TBI, thus providing timely treatment.”
The study also supports previous claims that using susceptibility-weighted imaging to evaluate brain injury patients may be more effective than conventional MRI. In this study’s capacity, using susceptibility-weighted imaging resulted in detecting significantly more microhemorrhages due to a higher spatial resolution and signal, with 77 percent of cerebral microhemorrhages appearing more evident through susceptibility-weighted imaging when compared to conventional MRI.
Funding: The research is funded by the Center for Neuroscience and Regenerative Medicine, and Congressionally Directed Medical Research Programs.
Source: Linda Brooks – Radiological Society of North America
Image Source: The image is credited to Radiological Society of North America
Original Research: Abstract for “Imaging Cerebral Microhemorrhages in Military Service Members with Chronic Traumatic Brain Injury” by Wei Liu, Karl Soderlund, Justin S. Senseney, David Joy, Ping-Hong Yeh, John Ollinger, Elyssa B. Sham, Tian Liu, Yi Wang, Terrence R. Oakes, and Gerard Riedy in Radiology. Published online September 15 2015 doi:10.1148/radiol.2015150160
Abstract
Imaging Cerebral Microhemorrhages in Military Service Members with Chronic Traumatic Brain Injury
Purpose
To detect cerebral microhemorrhages in military service members with chronic traumatic brain injury by using susceptibility-weighted magnetic resonance (MR) imaging. The longitudinal evolution of microhemorrhages was monitored in a subset of patients by using quantitative susceptibility mapping.
Materials and Methods
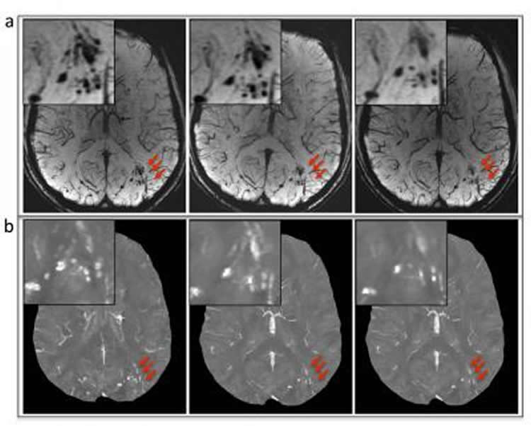
The study was approved by the Walter Reed National Military Medical Center institutional review board and is compliant with HIPAA guidelines. All participants underwent two-dimensional conventional gradient-recalled-echo MR imaging and three-dimensional flow-compensated multiecho gradient-recalled-echo MR imaging (processed to generate susceptibility-weighted images and quantitative susceptibility maps), and a subset of patients underwent follow-up imaging. Microhemorrhages were identified by two radiologists independently. Comparisons of microhemorrhage number, size, and magnetic susceptibility derived from quantitative susceptibility maps between baseline and follow-up imaging examinations were performed by using the paired t test.
Results
Among the 603 patients, cerebral microhemorrhages were identified in 43 patients, with six excluded for further analysis owing to artifacts. Seventy-seven percent (451 of 585) of the microhemorrhages on susceptibility-weighted images had a more conspicuous appearance than on gradient-recalled-echo images. Thirteen of the 37 patients underwent follow-up imaging examinations. In these patients, a smaller number of microhemorrhages were identified at follow-up imaging compared with baseline on quantitative susceptibility maps (mean ± standard deviation, 9.8 microhemorrhages ± 12.8 vs 13.7 microhemorrhages ± 16.6; P = .019). Quantitative susceptibility mapping–derived quantitative measures of microhemorrhages also decreased over time: −0.85 mm3 per day ± 1.59 for total volume (P = .039) and −0.10 parts per billion per day ± 0.14 for mean magnetic susceptibility (P = .016).
Conclusion
The number of microhemorrhages and quantitative susceptibility mapping–derived quantitative measures of microhemorrhages all decreased over time, suggesting that hemosiderin products undergo continued, subtle evolution in the chronic stage.
“Imaging Cerebral Microhemorrhages in Military Service Members with Chronic Traumatic Brain Injury” by Wei Liu, Karl Soderlund, Justin S. Senseney, David Joy, Ping-Hong Yeh, John Ollinger, Elyssa B. Sham, Tian Liu, Yi Wang, Terrence R. Oakes, and Gerard Riedy in Radiology. Published online September 15 2015 doi:10.1148/radiol.2015150160

