A new study has thrown light on how people can become killers in certain situations, showing how brain activity varies according to whether or not killing is seen as justified.
The study, led by Monash researcher Dr Pascal Molenberghs, School of Psychological Sciences, is published today in the journal Social Cognitive and Affective Neuroscience.
Participants in the study played video games in which they imagined themselves to be shooting innocent civilians (unjustified violence) or enemy soldiers (justified violence). Their brain activity was recorded via functional magnetic resonance imaging (fMRI) while they played.
Dr Molenberghs said the results provided important insights into how people in certain situations, such as war, are able to commit extreme violence against others.
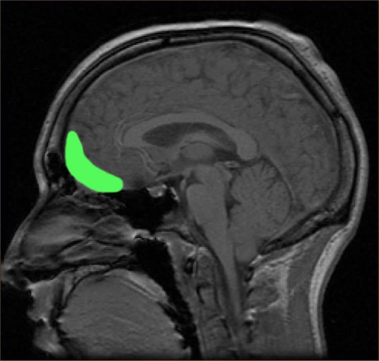
“When participants imagined themselves shooting civilians compared to soldiers, greater activation was found in the lateral orbitofrontal cortex (OFC), an important brain area involved in making moral decisions,” Dr Molenberghs said.
“The more guilt participants felt about shooting civilians, the greater the response in the lateral OFC. When shooting enemy soldiers, no activation was seen in lateral OFC.”
The results show that the neural mechanisms that are typically implicated with harming others become less active when the violence against a particular group is seen as justified.
“The findings show that when a person is responsible for what they see as justified or unjustified violence, they will have different feelings of guilt associated with that – for the first time we can see how this guilt relates to specific brain activation,” Dr Molenberghs said.

The researchers hope to further investigate how people become desensitised to violence and how personality and group membership of both perpetrator and victim influence these processes.
Dr Molenberghs is director of the Monash Social Neuroscience Lab, which studies morality, empathy and group membership in order to get a better understanding of how complex social problems such as racism and in-group bias develop.
Funding: The lab has received funding from the Australian Research Council and the Heart Foundation.
Source: Monash University press release
Original Research: Abstract for “The neural correlates of justified and unjustified killing: an fMRI study” by Pascal Molenberghs, Claudette Ogilvie, Winnifred R. Louis, Jean Decety, Jessica Bagnall, and Paul G. Bain in Social Cognitive and Affective Neuroscience. Published online March 9 2015 doi:10.1093/scan/nsv027
Abstract
The neural correlates of justified and unjustified killing: an fMRI study
Despite moral prohibitions on hurting other humans, some social contexts allow for harmful actions such as killing of others. One example is warfare, where killing enemy soldiers is seen as morally justified. Yet, the neural underpinnings distinguishing between justified and unjustified killing are largely unknown. To improve understanding of the neural processes involved in justified and unjustified killing, participants had to imagine being the perpetrator whilst watching ‘first-person perspective’ animated videos where they shot enemy soldiers (‘justified violence’) and innocent civilians (‘unjustified violence’). When participants imagined themselves shooting civilians compared with soldiers, greater activation was found in the lateral orbitofrontal cortex (OFC). Regression analysis revealed that the more guilt participants felt about shooting civilians, the greater the response in the lateral OFC. Effective connectivity analyses further revealed an increased coupling between lateral OFC and the temporoparietal junction when shooting civilians. The results show that the neural mechanisms typically implicated with harming others, such as the OFC, become less active (TPJ) when the violence against a particular group is seen as justified. This study therefore provides unique insight into how normal individuals can become aggressors in specific situations.
“The neural correlates of justified and unjustified killing: an fMRI study” by Pascal Molenberghs, Claudette Ogilvie, Winnifred R. Louis, Jean Decety, Jessica Bagnall, and Paul G. Bain in Social Cognitive and Affective Neuroscience. Published online March 9 2015 doi:10.1093/scan/nsv027

