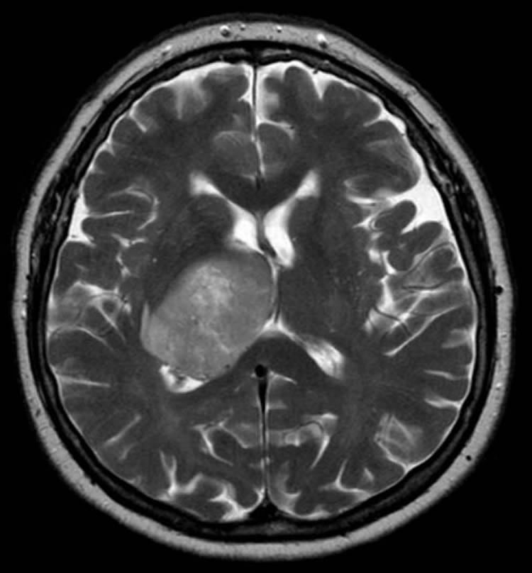
UT Southwestern Medical Center researchers have demonstrated in both cancer cell lines and in mice that blocking critical DNA repair mechanisms could improve the effectiveness of radiation therapy for highly fatal brain tumors called glioblastomas.
Radiation therapy causes double-strand breaks in DNA that must be repaired for tumors to keep growing. Scientists have long theorized that if they could find a way to block repairs from being made, they could prevent tumors from growing or at least slow down the growth, thereby extending patients’ survival. Blocking DNA repair is a particularly attractive strategy for treating glioblastomas, as these tumors are highly resistant to radiation therapy. In a study, UT Southwestern researchers demonstrated that the theory actually works in the context of glioblastomas.
“This work is informative because the findings show that blocking the repair of DNA double-strand breaks could be a viable option for improving radiation therapy of glioblastomas,” said Dr. Sandeep Burma, Associate Professor of Radiation Oncology in the division of Molecular Radiation Biology at UT Southwestern.
His lab works on understanding basic mechanisms by which DNA breaks are repaired, with the translational objective of improving cancer therapy with DNA damaging agents. Recent research from his lab has demonstrated how a cell makes the choice between two major pathways that are used to repair DNA breaks – non-homologous end joining (NHEJ) and homologous recombination (HR). His lab found that enzymes involved in cell division called cyclin-dependent kinases (CDKs) activate HR by phosphorylating a key protein, EXO1. In this manner, the use of HR is coupled to the cell division cycle, and this has important implications for cancer therapeutics. These findings were published April 7 in Nature Communications.

While the above basic study describes how the cell chooses between NHEJ and HR, a translational study from the Burma lab demonstrates how blocking both repair pathways can improve radiotherapy of glioblastomas. Researchers in the lab first were able to show in glioblastoma cell lines that a drug called NVP-BEZ235, which is in clinical trials for other solid tumors, can also inhibit two key DNA repair enzymes, DNA-PKcs and ATM, which are crucial for NHEJ and HR, respectively. While the drug alone had limited effect, when combined with radiation therapy, the tumor cells could not quickly repair their DNA, stalling their growth.
While excited by the initial findings in cell lines, researchers remained cautious because previous efforts to identify DNA repair inhibitors had not succeded when used in living models – mice with glioblastomas. Drugs developed to treat brain tumors also must cross what’s known as the blood-brain-barrier in living models.
But the NVP-BEZ235 drug could successfully cross the blood-brain-barrier, and when administered to mice with glioblastomas and combined with radiation, the tumor growth in mice was slowed and the mice survived far longer – up to 60 days compared to approximately 10 days with the drug or radiation therapy alone. These findings were published in the March 1 issue of Clinical Cancer Research.
“The consequence is striking,” said Dr. Burma. “If you irradiate the tumors, nothing much happens because they grow right through radiation. Give the drug alone, and again, nothing much happens. But when you give the two together, tumor growth is delayed significantly. The drug has a very striking synergistic effect when given with radiation.”
The combination effect is important because the standard therapy for glioblastomas in humans is radiation therapy, so finding a drug that improves the effectiveness of radiation therapy could have profound clinical importance eventually. For example, such drugs may permit lower doses of X-rays and gamma rays to be used for traditional therapies, thereby causing fewer side effects.
“Radiation is still the mainstay of therapy, so we have to have something that will work with the mainstay of therapy,” Dr. Burma said.
While the findings provide proof that the concept of “radiosensitizing” glioblastomas works in mouse models, additional research and clinical trials will be needed to demonstrate whether the combination of radiation with DNA repair inhibitors would be effective in humans, Dr. Burma cautioned.
“Double-strand DNA breaks are a double-edged sword,” he said. “On one hand, they cause cancer. On the other, we use ionizing radiation and chemotherapy to cause double-strand breaks to treat the disease.”
Another recent publication from his lab highlights this apparent paradox by demonstrating how radiation can actually trigger glioblastomas in mouse models. This research, supported by NASA, is focused on understanding cancer risks from particle radiation, the type faced by astronauts on deep-space missions and now being used in cutting-edge cancer therapies such as proton and carbon ion therapy.
Dr. Burma’s lab uses the high-tech facilities and large particle accelerator of the NASA Space Radiation Laboratory at the Brookhaven National Laboratory in New York to generate heavy ions, which can be used to irradiate glioblastoma-prone mice to test both the cancer-inducing potential of particle radiation as well as its potential therapeutic use.
“Heavy particles cause dense tracks of damage, which are very hard to repair,” Dr. Burma noted. “With gamma or X-rays, which are used in medical therapy, the damage is diffuse and is repaired within a day. If you examine a mouse brain irradiated with heavy particles, the damage is repaired slowly and can last for months.”
These findings, published March 17 in Oncogene, suggest that glioblastoma risk from heavier particles is much higher compared to that from gamma or X-rays. This study is relevant to the medical field, since ionizing radiation, even low doses from CT scans, have been reported to increase the risk of brain tumors, Dr. Burma said.
The first authors of these publications are instructor Dr. Nozomi Tomimatsu (Nature Communications), graduate student, Carlos Gil Del Alcazar (Clinical Cancer Research) and former graduate student Dr. Cristel Camacho (Oncogene). Other Burma lab members who contributed to these publications include assistant professor Bipasha Mukherjee, and graduate students Pavlina Todorova, Mariya Ilcheva and Molly Catherine Hardebeck. Additional UT Southwestern investigators who contributed to the research include Dr. Michael Dean Story, professor of radiation oncology, Dr. Kimmo Hatanpaa, associate professor of pathology, Dr. Amyn Habib, associate professor of neurology and neurotherapeutics, Dr. Robert Bachoo, assistant professor of neurology and neurotherapeutics, and Dr. Xian-Jin Xie, associate professor of clinical sciences.
The research was conducted with support from the National Institutes of Health, National Aeronautics and Space Administration (NASA), and the Cancer Prevention and Research Institute of Texas.
Contact: Sandeep Burma – UT Southwestern
Source: UT Southwestern press release
Image Source: The image is credited Hellerhoff and is licensed Creative Commons Attribution-Share Alike 3.0 Unported
Original Research: Abstract for “Phosphorylation of EXO1 by CDKs 1 and 2 regulates DNA end resection and repair pathway choice” by Nozomi Tomimatsu, Bipasha Mukherjee, Molly Catherine Hardebeck, Mariya Ilcheva, Cristel Vanessa Camacho, Janelle Louise Harris, Matthew Porteus, Bertrand Llorente, Kum Kum Khanna and Sandeep Burma in Nature Communications. Published online April 7 2014 doi:10.1038/ncomms4561
Abstract for “DNA double-strand breaks cooperate with loss of Ink4 and Arf tumor suppressors to generate glioblastomas with frequent Met amplification” by C V Camacho, P K Todorova, M C Hardebeck, N Tomimatsu, C R Gil del Alcazar, M Ilcheva, B Mukherjee, B McEllin, V Vemireddy, K Hatanpaa, M D Story, A A Habib, V V Murty, R Bachoo and S Burma in Oncogene. Published online March 17 2014 doi:10.1038/onc.2014.29
Abstract for “Inhibition of DNA Double-Strand Break Repair by the Dual PI3K/mTOR Inhibitor NVP-BEZ235 as a Strategy for Radiosensitization of Glioblastoma” by Carlos Rodrigo Gil del Alcazar, Molly Catherine Hardebeck, Bipasha Mukherjee, Nozomi Tomimatsu, Xiaohuan Gao, Jingsheng Yan, Xian-Jin Xie, Robert Bachoo, Li Li, Amyn A. Habib, and Sandeep Burma in Clinical Cancer Research. Published online March 1 2014 doi:1158/1078-0432.CCR-13-1607

