Children who have been abused or exposed to other types of trauma typically experience more intense emotions than their peers, a byproduct of living in volatile, dangerous environments.
But what if those kids could regulate their emotions? Could that better help them cope with difficult situations? Would it impact how effective therapy might be for them?
A University of Washington-led team of researchers sought to address those questions by studying what happens in the brains of maltreated adolescents when they viewed emotional images, and then tried to control their responses to them. The researchers found that with a little guidance, maltreated children have a surprising ability to regulate their emotions.
“They were just as able to modulate their emotional responses when they were taught strategies for doing so,” said Kate McLaughlin, a UW assistant professor of psychology and the study’s lead author. “That’s very encouraging.”
Difficulties with regulating emotions are linked to the onset of mental disorders among maltreated children. Previous research has focused on how the brains of such children respond spontaneously to negative facial emotions, but the UW study, published Aug. 20 in the Journal of the American Academy of Child & Adolescent Psychiatry, is thought to be the first looking at whether maltreatment impacts brain regions involved in emotion control.
The study involved 42 boys and girls age 13 to 19, half of whom had been physically and/or sexually abused. Using magnetic resonance imaging, the researchers tracked the teens’ brain activity as they were shown a series of photographs.
The teens were first shown neutral, positive and negative images and were told to let their emotions unfold naturally. The neutral images featured outdoor scenes or objects, such as a coffee cup or a pair of glasses, while the positive and negative images depicted scenarios showing people with different facial expressions — a smiling family engaged in a fun activity, for example, or two people arguing. The exercise was intended to model real-world emotional situations, McLaughlin said.
“How much do you react when something emotional happens? Some people have really strong emotional reactions. Some people have much more muted responses,” said McLaughlin, director of the UW’s Stress & Development Laboratory.
“The question is, do we see differences in the brain in terms of how it responds to emotional information in kids who have been maltreated?”
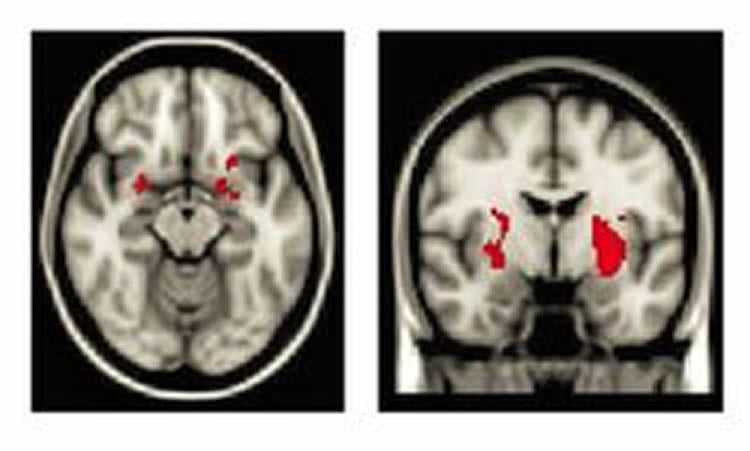
The answer is yes, the researchers concluded. The positive images generated little difference in brain activity between the two groups. But when looking at negative images, the maltreated teens had more activity in brain regions involved in identifying potential threats — including the amygdala, which plays a key role in processing emotions and learning about environmental threats — than the control group. That makes sense, McLaughlin said, since in a chronically dangerous environment the brain is on heightened alert, constantly on the lookout for potential threats.

In a second exercise, participants were shown more photos and told to try to increase their emotional responses to the positive images and scale them back when viewing the negative images, using techniques they were taught beforehand. The children were shown how to use cognitive reappraisal, a strategy that involves thinking about a situation differently to alter the emotional response to it.
Participants thought about the negative images in ways that made them psychologically more distant — for example, thinking that the people in the photos were strangers or that the scene was not really happening. For the positive cues, they thought about the images in a way that made them more realistic, such as imagining that they were part of the happy scene or that it involved people they knew.
Again, the two groups were similar in their brain responses to the positive images. But the negative photos caused the maltreated teens’ brains to go into overdrive, drawing more heavily on regions in the prefrontal cortex to tamp down their feelings. The prefrontal cortex is involved in higher-order cognition and integrates information from other areas of the brain to effectively control emotions and behaviors and guide decision-making.
Though it was more difficult for them, the maltreated teens were able to modulate activity in the amygdala just as well as the participants with no history of maltreatment. That suggests that given the right tools, maltreated children may be able to control their emotional responses to real-world situations.
It also has promising implications for treatment, McLaughlin said, since the strategies participants used in the study are similar to those used in trauma therapy. Specifically, cognitive reappraisal, the strategy children used to regulate their emotions in the study, is a core technique used in trauma-focused treatments for children.
There’s a common assumption that children subjected to abuse or trauma will have problematic emotions across the board, McLaughlin said — muted responses to positive situations and extreme reactions to negative ones. But the study’s findings suggest that maltreated children are perhaps more resilient and adaptable than previously thought.
“It seems that they are able to cope effectively, even in very stimulating emotional situations, if they’re taught strategies for doing so,” she said. “We think the findings are really promising.”
Co-authors are UW psychology graduate student Matthew Peverill, Andrea Gold of the National Institute of Mental Health, Sonia Alves of Harvard University and Boston Children’s Hospital, and Margaret Sheridan of Harvard University.
Funding: The research was funded by the National Institutes of Health and the Charles H. Hood Foundation.
Source: Deborah Bach – University of Washington
Image Source: The image is credited to Katie McLaughlin
Original Research: Abstract for “Child Maltreatment and Neural Systems Underlying Emotion Regulation” by Katie A. McLaughlin, Matthew Peverill, Andrea L. Gold, Sonia Alves, and Margaret A. Sheridan in Journal of the American Academy of Child and Adolescent Psychiatry. Published online June 26 2015 doi:10.1016/j.jaac.2015.06.010
Abstract
Child Maltreatment and Neural Systems Underlying Emotion Regulation
Objective
The strong associations between child maltreatment and psychopathology have generated interest in identifying neurodevelopmental processes that are disrupted following maltreatment. Previous research has focused largely on neural response to negative facial emotion. We determined whether child maltreatment was associated with neural responses during passive viewing of negative and positive emotional stimuli and effortful attempts to regulate emotional responses.
Method
A total of 42 adolescents aged 13 to 19 years, half with exposure to physical and/or sexual abuse, participated. Blood oxygen level–dependent (BOLD) response was measured during passive viewing of negative and positive emotional stimuli and attempts to modulate emotional responses using cognitive reappraisal.
Results
Maltreated adolescents exhibited heightened response in multiple nodes of the salience network, including amygdala, putamen, and anterior insula, to negative relative to neutral stimuli. During attempts to decrease responses to negative stimuli relative to passive viewing, maltreatment was associated with greater recruitment of superior frontal gyrus, dorsal anterior cingulate cortex, and frontal pole; adolescents with and without maltreatment down-regulated amygdala response to a similar degree. No associations were observed between maltreatment and neural response to positive emotional stimuli during passive viewing or effortful regulation.
Conclusion
Child maltreatment heightens the salience of negative emotional stimuli. Although maltreated adolescents modulate amygdala responses to negative cues to a degree similar to that of non-maltreated youths, they use regions involved in effortful control to a greater degree to do so, potentially because greater effort is required to modulate heightened amygdala responses. These findings are promising, given the centrality of cognitive restructuring in trauma-focused treatments for children.
“Child Maltreatment and Neural Systems Underlying Emotion Regulation” by Katie A. McLaughlin, Matthew Peverill, Andrea L. Gold, Sonia Alves, and Margaret A. Sheridan in Journal of the American Academy of Child and Adolescent Psychiatry. Published online June 26 2015 doi:10.1016/j.jaac.2015.06.010

