Personal Reflection Triggers Increased Brain Activity During Depressive Episodes

Research by the University of Liverpool has found that people experiencing depressive episodes display increased brain activity when they think about themselves.

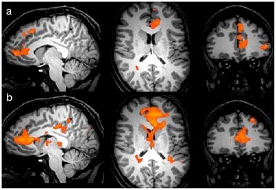
Using functional magnetic resonance imaging (fMRI) brain imaging technologies, scientists found that people experiencing a depressive episode process information about themselves in the brain differently to people who are not depressed.

British Queen

Researchers scanned the brains of people in major depressive episodes and those that weren’t whilst they chose positive, negative and neutral adjectives to describe either themselves or the British Queen – a figure significantly removed from their daily lives but one that all participants were familiar with.

Sagittal, axial and coronal views of areas of statistically significant BOLD activation (p = 0.005 uncorrected, cluster threshold 8 voxels) for the condition ‘self – queen’ in (a) the depressed group (n = 13) and (b) the control group (n = 14). Areas in red represent regions of increased BOLD activity in the ‘self’ as opposed to ‘queen’ condition. Credit May Sarsam, Laura M. Parkes, Neil Roberts, Graeme S. Reid, and Peter Kinderman/PLOS ONE.

Professor Peter Kinderman, Head of the University’s Institute of Psychology, Health and Society, said: “We found that participants who were experiencing depressed mood chose significantly fewer positive words and more negative and neutral words to describe themselves, in comparison to participants who were not depressed.

“That’s not too surprising, but the brain scans also revealed significantly greater blood oxygen levels in the medial superior frontal cortex – the area associated with processing self-related information – when the depressed participants were making judgments about themselves.

“This research leads the way for further studies into the psychological and neural processes that accompany depressed mood. Understanding more about how people evaluate themselves when they are depressed, and how neural processes are involved could lead to improved understanding and care.”

Dr May Sarsam, from the Mersey Care NHS Trust, said: “This study explored the difference in medical and psychological theories of depression. It showed that brain activity only differed when depressed people thought about themselves, not when they thought about the Queen or when they made other types of judgements, which fits very well with the current psychological theory.

Equally important

“Thought and neurochemistry should be considered as equally important in our understanding of mental health difficulties such as depression.”

Depression is associated with extensive negative feelings and thoughts. Nearly one-fifth of adults experience anxiety or depression, with the conditions affecting a higher proportion of women than men.

Notes about this neuropsychology and neuroimaging research

The research, in collaboration with the Mersey Care NHS Trust and the Universities of Manchester, Edinburgh and Lancaster, is published in PLOS ONE.

Contact: Sarah Stamper – University of Liverpool
Source: University of Liverpool press release
Image Source: The image is credited to May Sarsam, Laura M. Parkes, Neil Roberts, Graeme S. Reid, and Peter Kinderman/PLOS ONE and is adapted from the research paper.
Original Research: Full open access research for “The Queen and I: Neural Correlates of Altered Self-Related Cognitions in Major Depressive Episode” by May Sarsam, Laura M. Parkes, Neil Roberts, Graeme S. Reid, and Peter Kinderman in PLOS ONE. Published online October 30 2013 doi:10.1371/journal.pone.0078844

#psychology, #neuroimaging, #depression, #openscience, #openaccess

Join our Newsletter
Thank you for subscribing.
Something went wrong.
I agree to have my personal information transferred to AWeber for Neuroscience Newsletter ( more information )
Sign up to receive our recent neuroscience headlines and summaries sent to your email once a day, totally free.
We hate spam and only use your email to contact you about newsletters. You can cancel your subscription any time.
Exit mobile version